Ransuil met gebroken poot krijgt delicate operatie

De ransuil die sinds eergisteren in het Natuurhulpcentrum verblijft na een verkeersongeval met een bus, werd vandaag geopereerd.

Het waren de dierenophalers van ARS (Animal Rescue Service) die een oproep kregen uit Tienen. Daar zag een automobilist hoe er vlak voor hem op de rijbaan zich een vreselijk tafereel afspeelde: een uil werd aangereden door een bus en belandde vervolgens spartelend langs de weg. Gelukkig had de man alles gezien en had hij de juiste reflex: stoppen, de vogel oprapen en  hulp inroepen. Toen een medewerker van ARS ter plaatse kwam, was de bestuurder opgelucht. De man was blij om de uil te kunnen overhandigen. Hij had het dier immers in zijn jas gehouden en had daar lelijke wondjes aan overgehouden. 

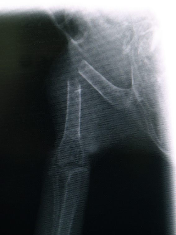
ARS bracht de gewonde uil met spoed over naar het Natuurhulpcentrum. Onze dierenverzorgers stelden een pootbreuk vast en fixeerden de poot zodat er niet meer schade zou optreden. De röntgenfoto toonde een breuk van het dijbeen, een complexe plaats om te spalken en een operatie drong zich dus op. Gelukkig waren er 2 lichtpuntjes: de vogel was nog bijzonder alert en strijdlustig én het ongeval was nog maar 48u geleden gebeurd.  

Dierenartsen Stef en Matty van DAC Assist besloten om zo snel mogelijk te opereren en vandaag ging de ransuil onder het mes. Tijdens de succesvolle operatie waren er maar liefst twee metalen pinnen nodig om de poot terug in de juiste positie te krijgen. Ondertussen is de ransuil ontwaakt uit narcose en stelt hij het goed. De vogel zal nog enkele weken op de afdeling Intensieve Zorgen verblijven. Als er verder geen complicaties optreden zal de vogel daarna verhuizen naar een binnenkooi om te revalideren. Vervolgens zal de uil zijn definitieve vrijlating voorbereiden in een van onze vliegkooien...

Dierenartsen Stef en Matty met de uil (nog onder narcose) 

Na een uurtje was de ransuil goed en wel ontwaakt uit de narcose 

Wil jij ook je steentje bijdragen?

Er zijn tal van manieren om ons centrum te steunen, zoals: zelf de handen uit de mouwen steken als vrijwilliger, oud papier, ijzer of kroonkurken voor ons verzamelen, dierenverzorger voor één dag worden, een rondleiding boeken, deelnemen aan onze activiteiten of gewoonweg lid worden..